Il carcinoma dell’ovaio rappresenta la forma di neoplasia dell’apparato riproduttivo femminile con maggior incidenza di mortalità, è la quinta causa di morte per cancro delle donne ed è tra le patologie oncologiche di diagnosi più difficile.
A causa della scarsa ed aspecifica sintomatologia nelle fasi iniziali, nel 70% dei casi il tumore viene diagnosticato in stadio già avanzato quando le possibilità di guarigione sono ormai compromesse.
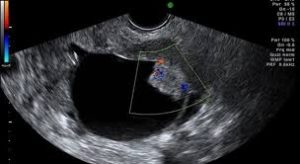
L’ecografia transvaginale è il primo strumento utilizzato nella conferma di un sospetto diagnostico della presenza di una massa pelvica alla visita ginecologica. Essa può dare ottimi risultati ed ha una sensibilità che può arrivare al 90%.
Quando si evidenzia, con la visita ginecologica oppure con l’ecografia una massa ovarica, è fondamentale eseguire una ecografia transvaginale specifica al fine di classificarla come più probabilmente benigna o più probabilmente maligna per poter decidere il successivo programma assistenziale.
Avendo conseguito la certificazione IOTA, nel nostro studio si è scelto di utilizzare i criteri dell’ International Ovarian Tumor Analysis che sono ampiamente validati nella pratica clinica da molti studi internazionali e che ci consentono di confermare il sospetto clinico e di classificare la massa come benigna, borderline o maligna, utilizzando i parametri della classificazione e gli indici ad essa connessi.
Un ulteriore ausilio all’esame ecografico ci viene dal dosaggio di alcuni marcatori come il Ca 125 che però risulta alterato anche in patologie benigne, quali l’endometriosi.
Il dosaggio della glicoproteina 4 dell’epididimo umano (EH4) rappresenta un ausilio nella diagnosi poiché essa ha spesso un valore elevato nel carcinoma epiteliale ovarico ed è presente in circa il 30% dei tumori negativi per Ca125. Il nuovo marcatore presenta un’elevata specificità poiché i suoi livelli non aumentano in presenza di cisti o masse ovariche benigne e la sua sensibilità è superiore a quella del Ca125 anche negli stadi precoci della malattia.
L’utilizzo appropriato di tale marcatore ha però significato soltanto se inquadrato in un ambito più ampio che comprenda come elemento di discriminazione primaria il ricorso all’indagine ecografica e l’eventuale dosaggio del Ca125.
